8xbet(中国)网1月18日电 近日,一位91岁高龄新冠病毒感染患者经北京清华长庚医院多学科团队联合救治康复出院。入院时老人已经意识不清,出院时自己步行走出院区。

感染性疾病科查房场景
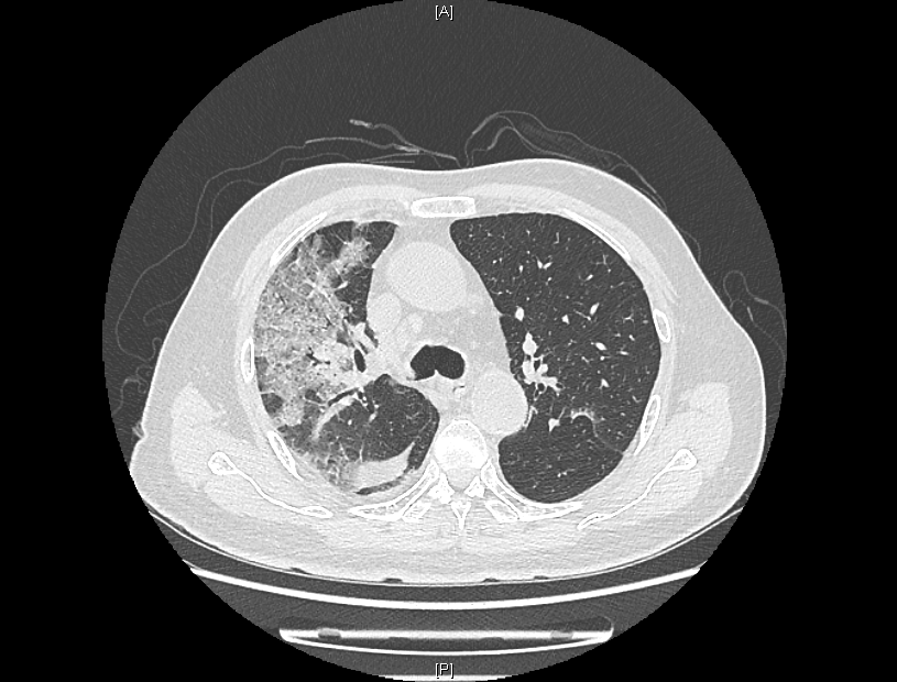
来院时,患者感染新冠病毒5天,持续发烧不退,出现了憋气、意识不清。患者入院后,经过医院持续监察发现,患者肺部CT逐步呈“白肺”状态,血气氧分压一度降至50mmHg,“正常血气氧分压为80-100mmHg,低于60mmHg,在临床上就可诊断为I型呼吸衰竭。”感染性疾病科主任林明贵说。

患者肺部CT检查图像
针对患者情况,医院对症施策,全力以赴做好患者的救治工作。感染性疾病科立即为患者行无创呼吸机支持,首要改善呼吸状况。针对肺部病变,团队应用激素减轻肺部渗出,改善炎症,促进病灶吸收,并给予抗病毒药物;针对血液降钙素原检查发现患者合并细菌感染,及时给予抗生素治疗;针对重症患者急转直下的病情,科室医护团队密切医疗监测,强化查房,发现问题及时调整。
因患者合并长年慢阻肺、高血压病史,以及少见的血液病单克隆丙种球蛋白病、心梗病史、甲状腺功能减退、肾动脉狭窄等疾病,林明贵提出,对该患者的救治,多学科联合是关键。在感染性疾病科对患者肺部感染进行治疗的同时,呼吸与危重症医学科协助治疗慢阻肺、呼吸衰竭;心脏内科针对高血压、心脏功能给予专科临床处理意见;针对肾动脉狭窄造成肾功能不全,肾脏内科全力参与救治;血液肿瘤科对其少见的血液疾病给出治疗方案;神经内科针对意识不清给予临床筛查……“多学科团队的强大支持,让抗病毒、抗感染治疗更有底气。”林明贵说。
在多学科联合保驾之下,老人入院后5天病情出现了转机,成功解除无创呼吸机,并逐步从高流量吸氧降至经鼻导管吸氧。“当时看到肺部影像时,心已经凉了半截,做好了最坏的思想打算。”患者的儿子说,老人生病前爱好打乒乓球,希望此次康复后,重新回归他热爱的球场。
为保证感染新冠病毒患者得到及时有效的救治,北京清华长庚医院所有病区收治新冠患者。目前临近春节,院内已有数十名新冠病毒感染患者陆续康复出院。春节期间,北京清华长庚医院医护技管团队继续为抗“疫”坚守,保障就医需求。
供稿:北京清华长庚医院
编辑:段颖
审核:曲田